Trusted Medical Information

Your Guide to Cancer Information

Comprehensive, evidence-based information about cancer types, treatment options, prevention strategies, and the latest advances in oncology care.

Test
Your Guide to Cancer Information

Common Cancer Types

Learn about different types of cancer, their symptoms, risk factors, and treatment approaches.

Breast Carcinoma

Luminal-A/ Luminal-B/ Her-2 Positive/ TNBCC

Breast cancer arises from uncontrolled growth of abnormal cells in the breast tissue, usually beginning in the ducts (ductal carcinoma) or lobules (lobular carcinoma). It is the most common cancer in women worldwide and also affects men (though rare, <1% of cases). Subtypes include hormone receptor positive (ER/PR+), HER2-positive, and triple-negative breast cancer (TNBC).

N/A
Survival Rate
0
Treatments

Lung Cancer: Comprehensive Overview

Cancer Information

Lung cancer is a malignant disease that arises from uncontrolled growth of abnormal cells in the lung tissue, most commonly starting in the lining of the bronchi or alveoli. It is the leading cause of cancer-related mortality worldwide. There are two major categories: - Non-Small Cell Lung Cancer (NSCLC): The most common type (~80–85%), includes adenocarcinoma, squamous cell carcinoma, and large cell carcinoma. - Small Cell Lung Cancer (SCLC): Less common (~15–20%) but highly aggressive, strongly associated with smoking, and prone to rapid spread.

N/A
Survival Rate
0
Treatments

Colon and Rectum Cancer: Comprehensive Overview

Cancer Information

Colorectal cancer (CRC) arises from abnormal growth of cells in the colon or rectum, often beginning as benign polyps that transform into malignant tumors over time. It is the third most common cancer worldwide and a leading cause of cancer-related deaths. Subtypes include adenocarcinoma (most common), mucinous carcinoma, and signet-ring cell carcinoma.

N/A
Survival Rate
0
Treatments
Incidence: - Global incidence: ~1.9 million new cases annual
Age Groups: - Most cases occur in people over 50 years old - Increasing incidence in younger adults (<50 years), especially in developed countries

Head & Neck Cancer: Comprehensive Overview

Cancer Information

Head and neck cancers (HNC) include malignancies of the **oral cavity, oropharynx (tonsil/base of tongue), hypopharynx, larynx**, **nasopharynx**, **salivary glands**, and **paranasal sinuses/sinonasal tract**. Most are **squamous cell carcinomas (HNSCC)** arising from the mucosal epithelium; others include adenocarcinomas (salivary), lymphomas, and sarcomas. Etiology varies by subsite: **tobacco/betel quid** and alcohol drive many HNSCCs; **HPV** (p16+) drives oropharyngeal cancers; **EBV** is linked to nasopharyngeal carcinoma

N/A
Survival Rate
0
Treatments
Incidence: Global annual incidence (approximate, all H&N; sit
Age Groups: - Most common in adults **>40 years**. - **HPV-positive oropharyngeal** cancers often present in younger to middle-aged adults (40–60).

Ovarian Cancer: Comprehensive Overview

Cancer Information

Ovarian cancer arises from abnormal growth of cells in the ovaries, fallopian tubes, or peritoneum. Most cases are **epithelial ovarian cancers (EOC)**—particularly **high-grade serous carcinoma (HGSC)**—while others include **endometrioid**, **clear cell**, **mucinous** subtypes, as well as **germ cell** and **sex cord–stromal** tumors. It is often diagnosed at an advanced stage due to vague, nonspecific symptoms.

N/A
Survival Rate
0
Treatments
Incidence: Global annual incidence: **~300,000–330,000** new
Age Groups: Most epithelial ovarian cancers occur in **postmenopausal** women (50–79). - **Germ cell tumors** present predominantly in **adolescents and young adults**. - **Sex cord–stromal** tumors can occur at

Prostate Cancer: Comprehensive Overview

Cancer Information

Prostate cancer arises from abnormal growth of cells in the prostate gland, a small gland in men that produces seminal fluid. It is the second most common cancer in men worldwide. Most prostate cancers are adenocarcinomas. They may be indolent (slow-growing, localized) or aggressive (spreading quickly to bones and lymph nodes).

N/A
Survival Rate
0
Treatments
Incidence: - Global incidence: ~1.4 million new cases annual
Age Groups: - Rare before age 40 - Most common after age 60 - Peak incidence between ages 65–75

Treatment Options & Approaches

Understanding different cancer treatment modalities, their applications, and what to expect during treatment.

MDT (Multidisciplinary Team) icon

MDT (Multidisciplinary Team)

Multidisciplinary Approach in Cancer Treatment ||What is an MDT?|| A Multidisciplinary Team (MDT) is a group of cancer specialists who work together to design the best treatment plan for each patient. Instead of relying on a single doctor, your case is reviewed by a panel of experts who bring different perspectives to ensure the safest and most effective care. ||Who is in the MDT?|| 1. Oncologists (Medical, Surgical, Radiation) – to provide chemotherapy, targeted therapy, immunotherapy, surgery, and radiotherapy plans. 2. Radiologists – to interpret scans (CT, MRI, PET-CT) and help determine the spread of disease. 3. Pathologists – to analyze biopsy samples and identify tumor type and molecular markers. 4. Specialized Nurses & Support Staff – to guide you through the journey with care and counseling. 5. Other Specialists (as needed) – such as gastroenterologists, pulmonologists, or palliative care experts depending on cancer type.

MDT

Prostate Carcinoma

https://www.youtube.com/watch?v=z99cJB1vyLw

Screening

Test

Test2

Precision
Latest Breakthrough

Breakthrough Treatment

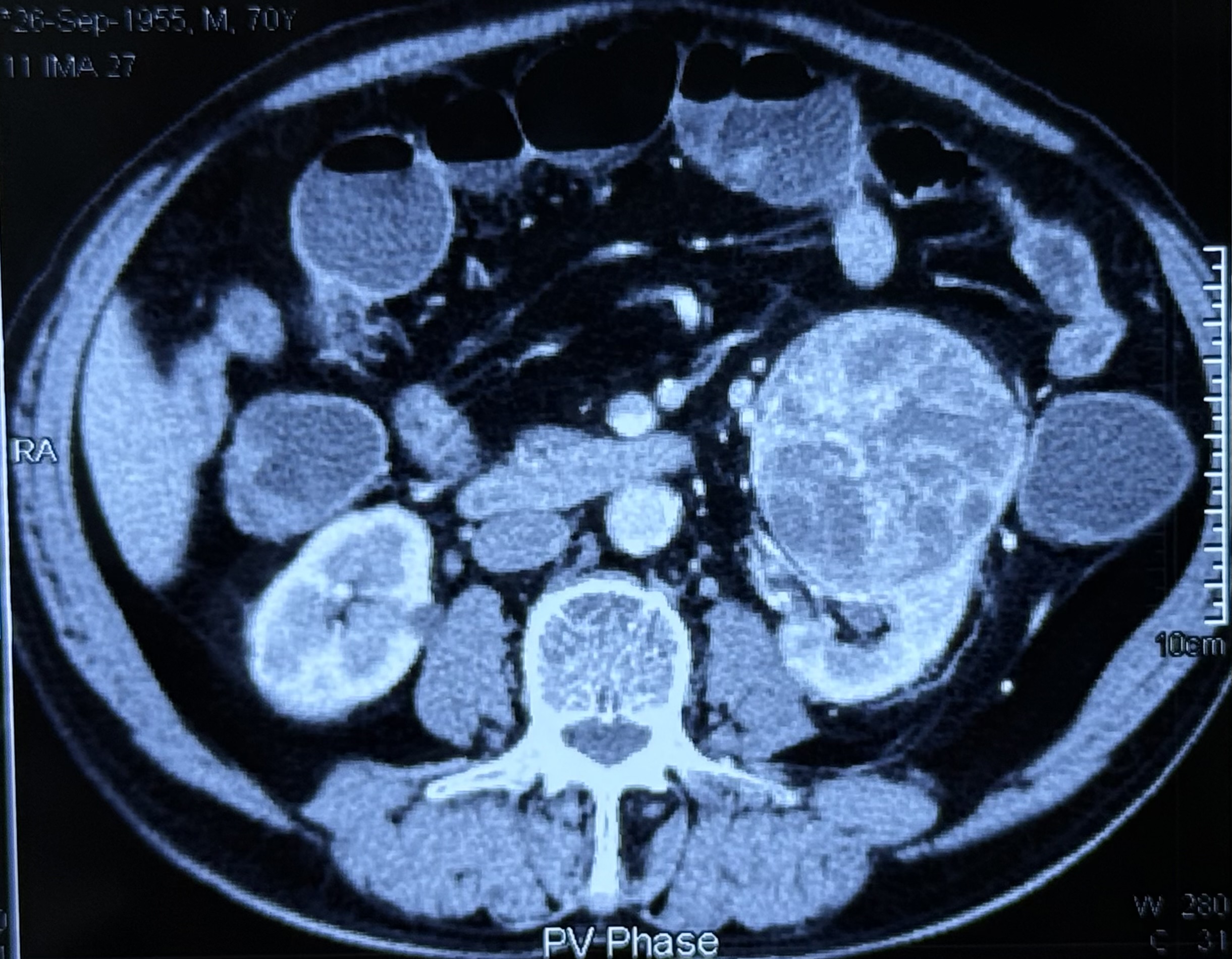
mRCC

mRCC treated with IO-TKI

Excellent prognosis even in case of metastatic renal clear cell carcinoma Both the study with Pembro + Axi (KEYNOTE-426) & Nivo + Cabo (CheckMate-9ER) showed Comparable OS/ORR; Nivo+Cabo with slightly stronger PFS, Pembro+Axi with longest OS follow-up.

Bilateral breast TNBC and central chest sebaceous carcinoma.

A series of diagnostic challenges, including conflicting histopathology reports that suggest both invasive ductal carcinoma and rare sebaceous carcinoma of a 20 years young female with bilateral breast and central chest sebaceous carcinoma.

Breakthrough Treatment

Prevention & Early Detection

Learn about cancer prevention strategies and screening guidelines that can help detect cancer early when treatment is most effective.

Prevention Strategies

Healthy Lifestyle

Maintain a balanced diet, regular exercise, and avoid tobacco and excessive alcohol consumption.

Sun Protection

Use sunscreen, wear protective clothing, and avoid excessive UV exposure to prevent skin cancer.

Vaccination

Get vaccinated against HPV and Hepatitis B to reduce risk of certain cancers.

Regular Check-ups

Maintain regular medical check-ups and follow recommended screening guidelines.

Screening Guidelines

Lung Cancer

Low dose CT scan

50-80
Annual (yearly)

Breast Cancer Screening

Mammogram

Recent 2024 guidelines suggest women aged 40–74
Every 2 years